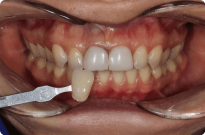
Примеры работ

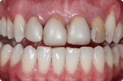
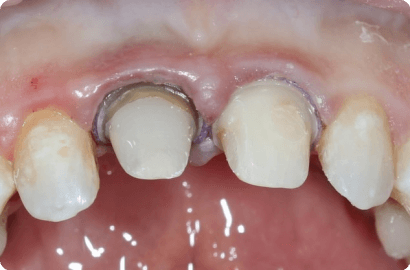
Восстановление зуба коронкой из оксида циркония

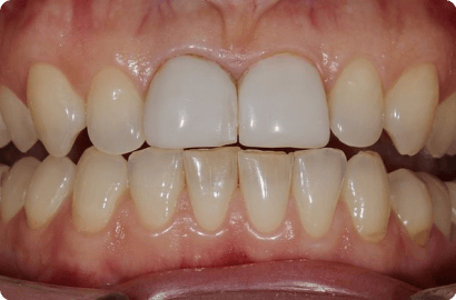
Протезирование зубов коронками из оксида циркония

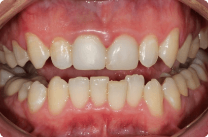
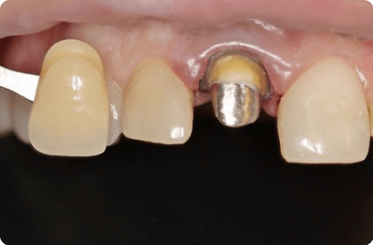
Восстановление 26 зуба. Коронка из металлокерамики
Хотите больше деталей? Позвоните нам или закажите обратный звонок
Мы ответим на все ваши вопросы по стоимости и объему услуг, согласуем удобное для вас время.
ул. Казимировская 21
Стоматология
+375 (29) 123-70-00 +375 (29) 123-50-00
с 9:00 до 22:00 - пн-пт.
с 9:00 до 15:00 - сб.
Выходной - вс.
Запись на прием
Заказать обратный звонок
Благодарим Вас за заявку!







