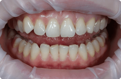
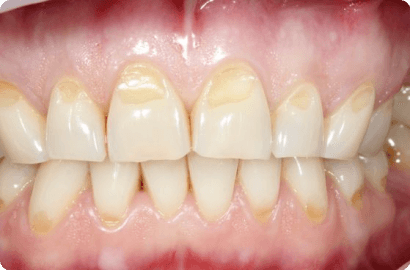
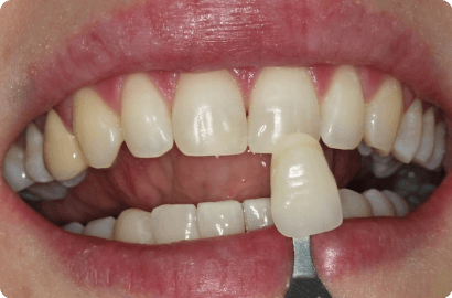
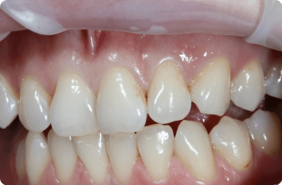
Примеры работ
Хотите больше деталей? Позвоните нам или закажите обратный звонок
Мы ответим на все ваши вопросы по стоимости и объему услуг, согласуем удобное для вас время.
ул. Казимировская 21
Стоматология
+375 (29) 123-70-00 +375 (29) 123-50-00
с 9:00 до 22:00 - пн-пт.
с 9:00 до 15:00 - сб.
Выходной - вс.
Запись на прием
Заказать обратный звонок
Благодарим Вас за заявку!










